
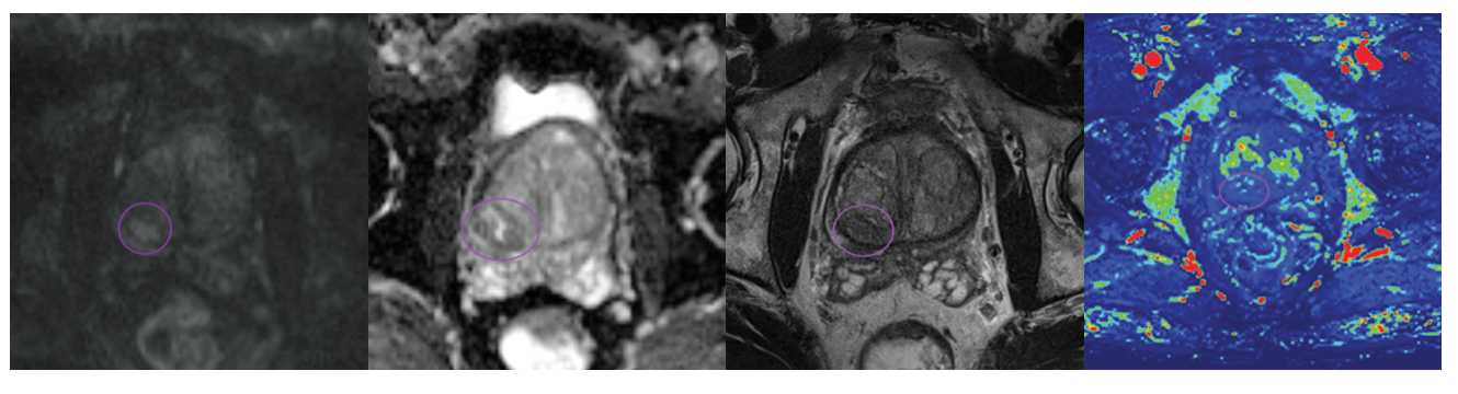
Đánh giá PI-RADS 3 . Phiên bản mới 2.1 (2023)
Các tổn thương này được phát hiện trên cộng hưởng từ (MRI) bằng cách sử dụng kết hợp các trình tự T2I , DWI/ADC và DCE.
• Gồm 1.481 tổn thương PI-RADS 3 được đánh giá riêng bằng cách sử dụng PI-RADS phiên bản 2.1.
•Tuổi trung bình là 59,0-69,3.
-Có 164 (11,1%) chứa ung thư có ý nghĩa lâm sàng
-Phần lớn các tổn thương PI-RADS 3 là lành tính hoặc không có ý nghĩa lâm sàng (n=1.317, 88,9%).
Nhìn chung, nguy cơ ung thư có ý nghĩa lâm sàng đối với các tổn thương PI-RADS 3 là thấp.
Những người đã sinh thiết TLT trước đó âm tính khả năng lành tính rất cao không cần sinh thiết lại theo dõi sát PSA và F PSA và PHI , MRI chụp lại sau 12 tháng theo dõi mà không cần phải sinh thiết tiền liệt tuyến
|
PI-RADS |
Nguy cơ ung thư về mặt lâm sàng |
|
1 |
Rất thấp / Rất khó xảy ra |
|
2 |
Thấp / không chắc |
|
3 |
Trung gian / mơ hồ chưa rõ |
|
4 |
Cao / Có khả năng |
|
5 |
Rất cao / Rất có khả năng |
© Copyrights 2024 BSDoHoangDung.com All Rights Reserved.